腎動脈ステント留置術・頚動脈ステント留置術
腎動脈ステント留置術
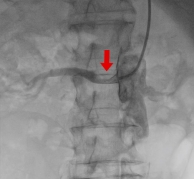
2次性腔血圧の原因として頻度の高い腎動脈狭窄の治療です。腎動脈の狭窄部分に細い針金を通して、風船(バルーン)で病変を開大させます。最近ではステントという金属の支持器具を留置することが多くなっています。血管内超音波という器材で病変の長さや血管径を測定し、病変の正常を確認しながら治療していきます。
突然の血圧上昇や腎機能の悪化などがきっかけで発見されることがあります。
多くの降圧薬でも血圧が下がらない、原因不明の肺水腫などに治療の適応があります。すべての方に腎動脈ステントの適応があるわけではありません。
治療前

治療中

治療後

頚動脈ステント留置術
脳梗塞や一過性脳虚血発作の原因となる頚動脈狭窄に対する治療です。内頚動脈に細い針金を通して、風船(バルーン)で病変を開大させます。ステントという金属の支持器具を留置します。病変の長さ、形態によっては外科的手術(内膜はく離術)を選択することがあります。
治療の前後でMRI検査を行い、脳梗塞や過かん流症候群などの合併症の有無を確認します。残念ながら全国的な調査では4-5%の合併症が報告されています。当院では脳神経外科意思と協力して患者さんに合った治療法、合併症の治療を行っています。
治療前

治療中

治療後
